Health
All Stories
The damage might not be “as bad” as traditional cigarettes, but it’s still pretty bad.
A Chinese researcher has sparked controversy after claiming to have used gene-editing technology known as CRISPR to help make the world’s first genetically modified babies.
An unbelievably clear look at what goes on inside our bodies.
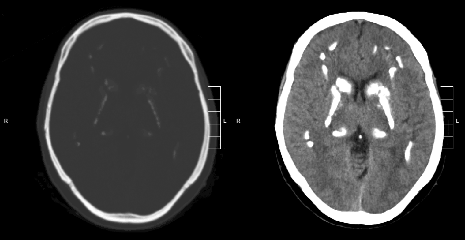
Swiss researchers identify new dangers of modern cocaine.
Is everyone’s favorite Thanksgiving centerpiece really to blame for the post-dinner doldrums?
A study on flies may hold the key to future addiction treatments.
A new study shows choosing to be active is a lot of work for our brains. Here are some ways to make it easier.
The results of a recent trial found that a new oral immunotherapy regimen could have life-saving potential.
Four out of every five American adults and children are not moving enough.
The closer together we get, the argument goes, the healthier we’ll be.
Once again, our circadian rhythm points the way.
Is the appendix a useless organ, an immune system benefactor, a Parkinson’s disease instigator, or all of the above?
The results come from a 15-year study that used ultrasound scans to track blood vessels in middle-aged adults starting in 2002.
Scientists have discovered that neurological response to posture is separate from movement.
Here are the leading solutions to antibiotic resistance, the next major global health threat.
▸
6 min
—
with
Antimicrobial resistance is growing worldwide, rendering many “work horse” medicines ineffective. Without intervention, drug-resistant pathogens could lead to millions of deaths by 2050. Thankfully, companies like Pfizer are taking action.
The long-raging debate over hot coffee versus iced coffee may soon be settled with this news.
Only 46 monks have completed the seven-year marathon since 1885.
In a study that might enable earlier diagnosis, neuroscientists find abnormal brain connections that can predict onset of psychotic episodes.
Spinal implants deliver intermittent bursts to stimulate movement.
Why? Because you have more cells, the researchers say.
There is a lot of hope in the healing powers of CBD. Unfortunately there’s way more hype.
Did you know? Looped music has been used a means of torture.
Electrons show chemists how to see more with less.
Pfizer’s Susan Silbermann explains the superhuman effort involved in getting vaccines to the people who need them most.
▸
5 min
—
with