Paul Ratner

Paul Ratner

Contributing Writer

Paul is a writer, filmmaker, and educator. He has written for years for Big Think and other outlets on transformative scientific research, history, and current events. His award-winning films like the true-life adventure "Moses on the Mesa" and the science documentary "The Caveman of Atomic City" have played at film festivals around the world. Paul also organizes numerous unique educational events, renowned film festivals, and competitions for thousands of people. He has degrees from Cornell University (BA) and Chapman University (MFA). You can follow Paul's work at paulratnerimagines.com, on Instagram, and Facebook.

A Harvard University study of women finds a link between optimism and risks of dying from a number of diseases.
Researchers find the most common superstitions in the United States, breaking them down by gender, age and part of the country.
Scientists propose an unexpected location for extraterrestrial life. 
Harvard University offers a free course on Buddhist scriptures.
New studies from NYU and John Hopkins University show the effectiveness of psilocybin in treating depression and anxiety of cancer patients. 
Jon Stewart shares his thoughts on many issues during a recent talk with the New York Times.
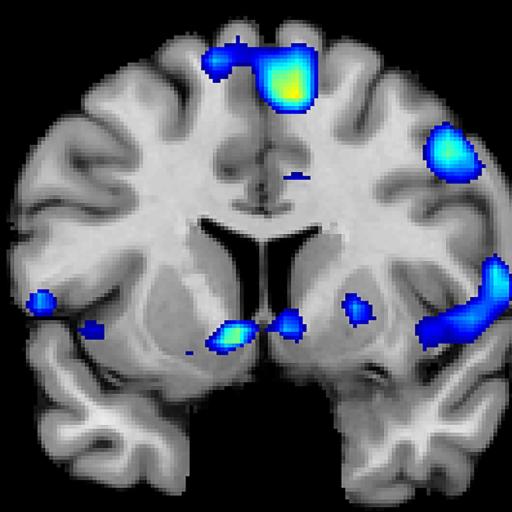
Researchers scan the brains of people having strong spiritual experiences.