Whenever making claims about the brain and political attitudes, tread with care. It’s easy to open yourself up to intense criticism from the scientific community, on anything from methodology to claims of causality. But if you’re Colin Firth, do you really care? Or is it just cool that you’re not only an Oscar-winning actor, but a neuroscientist to boot?


Can we study politics in the brain?

I tend to shy away from any research which claims to find links between brain function and political attitudes – it’s too easy to sensationalize, too difficult to quantify, too messy, and often, not actually revealing or noteworthy when examined closely. But I couldn’t help myself when I saw the byline of this recent study: Ryota Kanai of University College London and… Colin Firth, here credited as affiliated with the BBC. Apparently, an on-air demonstration led to follow-up work that has resulted in this publication.

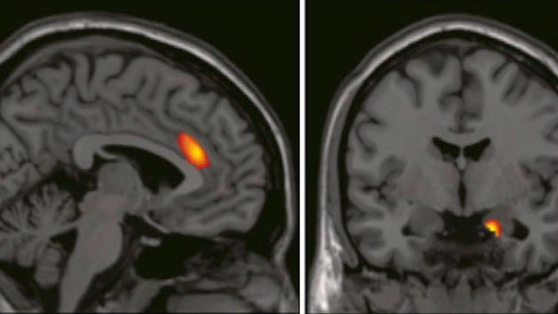
The researchers (though I can’t help but smile as I write that, given the co-authorship of both Firth and Tom Feilden, the science correspondent for BBC Radio 4’s Today program, or programme if you want to stay true to the original) found a correlation between brain structure and political orientation in a group of young adults. Specifically, they conducted structural MRI scans of healthy volunteers, who had identified their political attitude on a 5-point scale, from “very liberal” to “very conservative,” and found that people who were more liberal also had increased gray matter in the anterior cingulated cortex (ACC), while those who were more conservative had increased volume in the right amygdala.

Larger ACC, larger amygdala…but what does it actually mean?

I applaud the authors for not making any causal claims from these findings, and for stressing repeatedly that no causal claims can be made and that there are likely many complex processes involved when it comes to figuring out how political attitudes are formed. Nevertheless, they have made an active choice to study that very topic. 

Their working theory is that certain emotional and cognitive traits, which are partly reflected in the differing sizes of the ACC and amygdala, may influence the formation of political attitudes. For instance, the amygdala has been tied to fear processing, and prior studies have found a correlation between larger amygdala size and greater experienced fear. The ACC, on the other hand, has been linked to the management of uncertainty. So, a larger ACC – more tolerance of uncertainty and conflict. Still, it’s a long leap of logic and interpretation to take the next step and say larger amygdala, greater fear, ah yes, conservatives are fearful of change, and larger ACC, greater conflict and uncertainty monitoring, why, of course, liberals are more open to change. And while the authors don’t make those claims outright, they certainly do suggest them.

Why a healthy dose of skepticism is warranted

I, for one, remain quite skeptical and would argue that there is really no basis to create that last linkage. Political decisions, like any other decisions, are the result of myriad processes and circumstances, both within and outside of an individual. They do not boil down to a structural difference, or even several structural differences. As with everything, the environment will necessarily interact with genetics – and will do so in a different way for each unique individual.

What happens, for instance, if I have a larger ACC and a larger right amygdala? Will I be forever conflicted? Apolitical? A party deserter who runs from one extreme to the other? To me, each of these is equally ludicrous as a prediction, underscoring the essential fallacy in any causal reasoning, or even speculation (and while the authors, to be fair, are not guilty of the former, they are plenty guilty of the latter, which is bad enough… because it can be and will be misinterpreted and misrepresented, and will also likely create more unnecessary research).  Correlation never proves anything. It’s the only phrase from first-year statistics that has stuck in my head: correlation does not imply causation. Repeat. Repeat. Repeat.

My advice for Mr. Firth

So, a commendation to Colin Firth for venturing where few actors dare to go, but a word of advice for the future: next time, work on something slightly more experimental and concrete, and slightly less correlational and speculative. There are plenty of areas of brain research that could benefit from the bump in funding afforded by celebrity – and ones that are far more worthwhile and beneficial.